Breast cancer models in female rat strain Wistar with benzopyrene injection
Abstract
This study aimed to determine whether female rat strain Wistar with intramammary injection of benzopyrene can form breast cancer, whether there is a correlation between the time of tumor formation and the size of tumor with the category of tumor. This study used 35 female rats Wistar strain, 8-11 weeks. All rats had been intramammary injected with benzopyrene 3-5% at a dose of 50 mg/KgBW in 5 injections every 2 days. Swelling/lumps occur between 4-5 weeks to 17-18 weeks. The tumor was processed for Hematoxylin Eosin (HE) staining, and the results were viewed under a microscope with 400x magnification. There were 48.57% of rats that succeeded in forming tumors, with 34.28% being malignant phyllodes, 2,86% being metaplastic carcinoma, 2.86% being benign phyllodes, 2.86% being mesenchymal, and 5.71% being lymph gland. The results showed that the Spearman correlation between the time of tumor formation and the category of tumor had a value of p = 0.002 (p<0.05), r = 0.509. The correlation between the size of the tumor and the category of tumor is p = 0.009 (p<0.05), r = 0.435. There is a significant correlation between the time of tumor formation and the size of the tumor, with the category of tumor with a positive correlation of moderate strength. Rat strain Wistar with intramammary injection of benzopyrene can be an alternative study of breast cancer.
Keywords: Benzopyrene, Breast cancer model, Female rat Wistar, Intramammary injection
Introduction
Breast cancer is the most commonly diagnosed form of cancer globally, accounting for nearly 12% of all cancer cases worldwide and the leading cause of cancer death in women. During 2020, 2.3 million women were diagnosed with breast cancer, with 685,000 deaths globally. At the end of 2020, 7.8 million women who had been diagnosed with breast cancer in the previous five years were still alive, making breast cancer the most common malignancy. Breast cancer affects women in 158 of 183 countries (86%) and is the main cause of cancer death in women in 107 of 183 countries (58%) [1]. WHO's Global Breast Cancer Initiative (GBCI) was founded in 2021, bringing together stakeholders from around the world and across sectors with the common goal of reducing breast cancer by 2.5% per year, thereby saving 2.5% over 20 years of millions of lives.
GBCI implements 3 main strategies to achieve this goal, including health promotion and early detection, timely diagnosis, and comprehensive management of breast cancer. Through the GBCI, WHO provides guidance to governments around the world on how to strengthen breast cancer detection, diagnosis, and treatment systems, to increase their capacity to treat other types of cancer [1].
One of the implementations of this joint work is the development of national standards for the diagnosis and treatment of cancer and the supportive care of people with the disease. This involves, in particular, doctors and other health workers as well as health researchers. For this reason, it is necessary to carry out various research efforts related to the diagnosis, treatment, and care of cancer patients [1]. Either in the form of in vitro, in vivo research, or directly on cancer patients. For in vivo research or using animal models of breast cancer, rats are usually used. The selection of immunodeficient experimental animals aims to avoid inhibiting the process of cancer cell growth. Compared to other strains, the rat strain Sprague-Dawley has a weaker immune system. This kind of rat is frequently employed in medical research, including studies on cancer and those requiring a sharp decline in bodily immunity. This strain is quite difficult to obtain, so research using this type of rat requires a large cost [2, 3]. There is a need for alternatives to using experimental animals that are easy to obtain at affordable prices. Wistar rats are most often used for research. Wistar rats have a strong immune system and are aggressive, so they are widely farmed [3]. Researchers easily get this type of rat, and the price is also affordable. Apart from being easy to get, the price is also quite affordable; however, it is rarely used for cancer models. Female rat models of breast cancer are used because of many similarities with women in molecular and genetic features, biochemical properties, histology, and hormonal response [4-9]. This study used female rats as samples.
Carcinogenic chemicals that are usually used to create animal models of cancer, including breast cancer, are 7,12-dimethylbenza-anthracene (DMBA) and N-methyl-N-nitrosourea (NU) [2, 4]. Benzopyrene is a chemical that is also a carcinogen and can trigger cancer growth [10, 11]. In this research, the chemical used on rats is benzopyrene. This study aimed to determine whether the female rat strain Wistar with an intramammary injection of benzopyrene can form breast cancer and whether there is a correlation between the time of tumor formation and the size of the tumor with the category of tumor.
Materials and Methods
35 female Wistar rats aged 8-11 weeks (the right age for mammary carcinogen induction is at the beginning of puberty) [12]. Rat body weight was 150-200 grams, and the rats were not pregnant and had not been mixed with male rats since weaning [13]. Rats were acclimated for 7 days in the laboratory of experimental animal, Anatomy, Histology, and Pharmacology, Faculty of Medicine, Universitas Airlangga [14, 15]. Rats were placed in cages with a total of 5-6 rats in one cage. The size of the cage is around 70 cm x 50 cm x 50 cm. Rats were given food and drink ad libitum, 12 hours of light and 12 hours of dark, normal room temperature [14]. The cage has walls and a wire bottom so that dirt does not accumulate on the floor to prevent infection in rats. The cage is cleaned every 2-3 days [16-24].
The chemical used is benzopyrene. The chemical used is benzopyrene. Benzopyrene (C20H12) is an environmental pollutant commonly identified in air, surface water, drinking water, waste water, and in burnt food. The general population can be exposed to benzopyrene through air, tobacco smoke, water, and food. Benzopyrene is highly carcinogenic due to its hydrophobic nature and lack of metal groups or other reactive groups to convert into more polar compounds [25]. Benzopyrene for this study is catalog number Sig-Ald B1760. Benzopyrene powder dissolved in olive oil with a composition of 30 mg/10 mL. Benzopyrene and olive oil were mixed using stirring for ± 45 minutes until completely mixed without any lumps. This process was carried out in the Laboratory of Organic Chemistry, Faculty of Science and Technology, Universitas Airlangga. Then the benzopyrene solution is put into a glass bottle, tightly closed, and ready to use. Benzoyrene and olive oil are handled in sterile conditions, and the mixing process is carried out using special equipment and rooms. The benzopyrene that will be injected maintains its sterility in the bottle and is injected using a disposable syringe [26-31].
Rats that had been acclimated were injected with a benzopyrene solution at a dose of 50 mg/KgBW intramammary, which was given in 5 injections every 2 days. The injection location only uses the same 1 mammary, namely the second left mammary from the bottom, to facilitate the injection and excision process. Intramammary injection using a 1 ml sterile needle and syringe and disposable [15]. Rats were left and waited until swelling/lumps formed in the mammary area that had been injected [12]. The formation of lumps consists of several stages, including 4-5 weeks, 10-11 weeks, 12-13 weeks, 14-15 weeks, 16-17 weeks, and 17-18 weeks. Rats were euthanized by cervical dislocation method because their body weight ranged from 150-200mg [32]. After the rats were put to sleep, the mammary tumors were excised, and the size of the tumor was then assessed. By measuring its length and width, the area of the swelling or lump formed is computed in mm2 units. The excised tumor was placed in a Natural Buffered Formaldehyde (NBF) 10% solution, and after more than 24 hours, the HE staining process was carried out. The HE slides were examined under a trinocular microscope to determine the type of swelling/lump. The histopathology of swelling/lumps contains several contents, namely: inflammation, fibroblasts, blood vessels, infection, benign tumors, and malignant tumors. The examination was carried out at a magnification of 400 x on each sample [33-37].
Results and Discussion
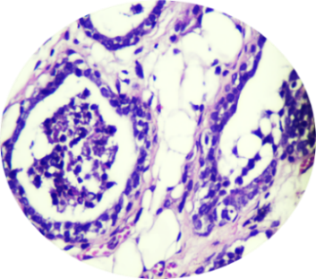
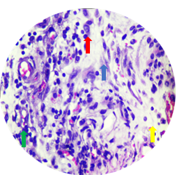
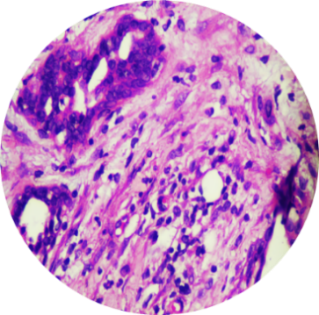
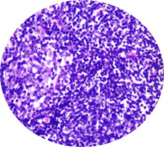
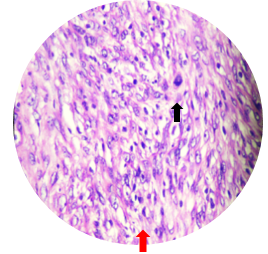
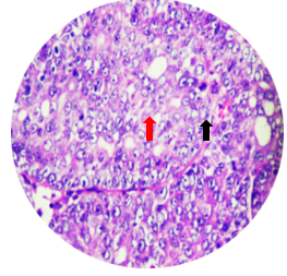
35 mammary samples that were examined were found to contain inflammation, fibroblast, blood vessel, and infection in 51.43%, benign tumors in 11.43%, and malignant tumors/cancer in 37.14%. These results are described in Table 1 below. The appearance of the tumor, HE staining results under a trinocular microscope, has been categorized and can be seen in Figures 1-3. In Figure 1, we can see 3 models of Non-Tumor Formation Perspectives there are image A, which only consists of inflammation; image B, with inflammation, fibroblasts, and blood vessels; and image C is a tuberculosis granuloma infection. Figure 2 shows the swelling/lump that forms, which is a benign tumor. Images A and B are benign mammary tumors; however, image C is a benign tumor that is likely to be found in the mouse axillary area, not in the mammary glands. Benign phyllodes tumors are characterized as lacking stromal overgrowth, with occasional mitoses up to 5 per 10 high-power fields (hpf), delimited and pushing margins, and mild to moderate stromal cytologic atypia [38]. 2 types of malignant tumors form from benzopyrene injection intramammary, namely malignant phylodes (image A) and metaplastic carcinoma (image B) which can be seen in Figure 3. However, most of them form malignant phylodes. Malignant phyllodes tumors are diagnosed by observation of stromal overgrowth, mitotic activity of > 10 per 10 hpf, permeative margins, and marked stromal hypercellularity and cytologic atypia [38]. Metaplastic carcinoma encompasses tumours with mixed epithelial and sarcomatoid components, as well as primary squamous or mixed adenocarcinoma and squamous carcinoma; the mixed group can be further classified into monophasic (spindle cell only) or biphasic (mixed spindle and carcinoma cells) [39].
|
Table 1. Categories of mammary tumors in the female rat strain Wistar |
|||||||||||
|
Not formed |
n |
Benign Tumor |
n |
Malignant Tumor |
n |
||||||
|
Inflammation |
Fibroblast |
Blood vessel |
Infection |
Mesenchymal |
Benign Phylodes |
Gland Lymph |
Malignant phylodes |
Metaplastic carcinoma |
|||
|
√ |
|
|
|
6 |
√ |
|
|
1 |
√ |
|
12 |
|
√ |
√ |
|
|
2 |
|
√ |
|
1 |
|
√ |
1 |
|
√ |
√ |
√ |
|
9 |
|
|
√ |
2 |
|
|
|
|
√ |
|
|
√ |
1 |
|
|
|
|
|
|
|
|
Total |
18 |
Total |
4 |
Total |
13 |
||||||
|
|
|
|
|
a |
b |
c |
|
Figure 1. The HE Analysis of Mammary Tissue Changes Induced by Benzopyrene Injections: Non-Tumor Formation Perspectives a) Inflammation of lymphocytes, histiocyte cells. b) Inflammation of lymphocytes (yellow), histiocyte cells (red), blood vessels (green), and fibroblasts (blue). c) Granuloma tuberculosa infection (blue). The results of the HE examination are viewed under a microscope with a magnification of 400 x. |
||
|
|
|
|
|
a |
b |
c |
|
Figure 2. The HE Analysis of Benign Tumors: a) Mesenchymal (orange), b) Benign Phylodes, c) Lymph Nodes. The results of the HE examination are viewed under a microscope with a magnification of 400x. |
||
|
|
|
|
a |
b |
|
Figure 3. The HE Analysis of Malignant Tumor: a) Malignant Phylodes (red), mitosis (black). b) Metaplastic Carcinoma (red), mitosis (black). The results of the HE examination are viewed under a microscope with a magnification of 400 x. |
|
All data obtained were not normally distributed. After data transformation, only the tumor size was normally distributed. The Spearman correlation test is used to test the correct correlation [40, 41]. The correlation between the time of tumor formation and the category of tumor is p = 0.002 (p<0.05), r = 0.509; the correlation between the size of tumor and the category of tumor is p = 0.009 (p<0.05), r = 0.435. There is a significant correlation between the time of tumor formation and the size of the tumor, with the category of tumor. Both have a positive correlation of moderate strength [42-51].
Rats that have been injected with benzopyrene take 4 months of keeping the rats to see the growth of the cancer [12, 52]. In this study, researchers kept rats until swelling/bumps formed in the mammae of rats. The time in weeks varied from 4-18 weeks to see the results of the swelling and determine the best time to produce breast cancer. Consists of several the time of tumor formation; 4-5 weeks, 10-11 weeks, 12-13 weeks, 14-15 weeks, 16-17 weeks, and 17-18 weeks. The correlation between the time of tumor formation and the category of tumor is positive with moderate strength. This means that the longer the time of tumor formation, the more malignant the tumor. It is known that rats operated on when tumor formation is over 10-11 weeks are likely to form inflammation, fibroblasts, blood vessels, benign tumors, and malignant tumors, while rats whose tumor formation is 16-17 weeks and over will all develop breast cancer. While to form a benign tumor, the time needed also varies from 4-5 weeks to 14-15 weeks, and in this study, only 5.71% of benign tumors formed. These results are consistent with the studies of Hasibuan and Sikdar et al. who waited for the growth of cancer in rats for 4 months [12, 52]. Researchers would love to know the time difference between the formation of malignant and benign tumors, but it is very difficult to do so.
In this study, the dose of benzopyrene injected intramammary was 50 mg/KgBB in 5 injections, while in Hasibuan's study with the same dose was administered in 1 subcutaneous injection [12]. In contrast to the research of Sikdar et al. to form lung cancer using benzopyrene in rats at the same dose through cavage for one month [52]. A dose of 50 mg/KgBW can be used to form cancer in white rats, including Wistar strain rats. It is hoped that there will be further research using a larger dose of benzopyrene to allow a shorter tumor formation time. Of course, this dose can make the rat survive until the end of the study, so that research using cancer animal models is more effective and efficient.
The correlation between the size of the tumor and the category of tumor is also positive, with moderate strength. This means that the larger the size of the tumor, the more malignant the tumor. Although a small tumor size <100 mm2 may also be a malignant tumor, certainly, a tumor size >100 mm2 with a hard and solid tumor consistency is a malignant tumor or breast cancer. Likewise, with the size of the tumor, it cannot be said that it can distinguish between benign tumors and malignant tumors from the area or size of the tumor. In this study, there were 5.71% benign tumors formed, but half of them were lymph nodes that were not benign mammary tumors. Further research is needed to form benign tumors by paying attention to the right dose and time for breast cancer research, which has enormous benefits for human medicine.
The rat offers a number of advantages over the mouse, including easier surgical manipulation, larger tumor size, and greater blood volume for downstream analyses, as well as being the preferred model for drug efficacy and toxicology studies [53]. Although each animal cancer model has its own advantages and disadvantages. Each animal model can only mimic certain aspects of human cancer [2]. Scientists need to consider the limitations of each model to select the model that best represents the process they are aiming to answer their specific research question [54].
Recently, researchers have begun to develop studies by growing tumor material derived from humans or cancer patients into experimental animals. Grafting human or spontaneous cancer cells by combining the human and rat immune systems. This method serves to reflect the heterogeneous features of these cancers in patients [53, 55]. While these results are more promising, various sources emphasize the importance of comparing studies and making them widely available to the rest of the research community. In the meantime, new and improved models of pastasis forms and studies of the microenvironment are urgently needed. So while there is no perfect invasive model for human breast cancer, such models remain invaluable research tools equipped with clinical materials, ex vivo and in vitro systems, and equipped with the knowledge and technology to continuously improve them [54].
Conclusion
This study aimed to determine whether female rat strain Wistar with intramammary injection of benzopyrene can form breast cancer. The female rat strain Wistar can be used as an experimental animal model for breast cancer and can be an alternative for breast cancer research. Rat strain Wistar is easy to obtain and has a cheaoer price than the Sprague-Dawley, which are commonly used. Intramammary injection of benzopyrene 3-5% at a dose of 50 mg/KgBW in 5 injections every 2 days can form breast cancer. The time of swelling/lump formation and the size of the tumor must be considered to obtain a rat model of breast cancer. In this study, breast cancer was characterized by the texture of the tumor being rather hard and dense, whereas if it was soft, it was usually still in the form of inflammation. If it is still soft, this does not mean that the formation of breast cancer has failed; just add a few weeks for the tumor to harden and become cancerous.
Acknowledgments: None
Conflict of interest: None
Financial support: None
Ethics statement: Ethical clearance was obtained from the Institutional Ethical Committee, Faculty of Veterinary Medicine, Universitas Airlangga (No: 2.KEH.094.06.2023).
References
- World Health Organization. GBCI Implementation Framework. Switzerland: WHO; 2023. Available from: https://www.who.int/health-topics/cancer
- Zeng L, Wei L, Chen CS. Breast cancer animal models and applications. Zool Res. 2020;41(5):477-94. doi:10.24272/j.issn.2095-8137.2020.095
- Widjiati. Hewan model percobaan penelitian laboratorium. Surabaya: Airlangga University Press; 2021. p. 25-6.
- Costa E, Goncalves TF, Cardoso M, Coelho JMP, Gaspar MM, Faisca P, et al. A step forward in breast cancer research: From a natural-like experimental model to a preliminary photothermal approach. Int J Mol Sci. 2020;21:9681. doi:10.3390/ijms21249681
- Leadbeatter D, Tjaya KC, Li P, Ma HS, Phan AJ, Peck C. A study of professional commitment in specialized dental assistants. Ann J Dent Med Assist. 2023;3(2):8-13. doi:10.51847/Ji7rjm1omB
- Bulusu A, Cleary SD. Comparison of dental caries in autistic children with healthy children. Ann J Dent Med Assist. 2023;3(2):14-9. doi:10.51847/wa2pZXE4RJ
- Ikhile FO, Enabulele JE. Assessing Riyadh dentists' awareness of orthodontic emergencies and treatment approaches. Ann J Dent Med Assist. 2023;3(2):20-6. doi:10.51847/5i5zJa3v5w
- Sugimori T, Yamaguchi M, Kikuta J, Shimizu M, Negishi S. The biomechanical and cellular response to micro-perforations in orthodontic therapy. Asian J Periodontics Orthod. 2022;2:1-15. doi:10.51847/Z9adSJ59rj
- Spirito FD, Iacono VJ, Alfredo I, Alessandra A, Sbordone L, Lanza A. Impact of COVID-19 awareness on periodontal disease prevention and management. Asian J Periodontics Orthod. 2022;2:16-26. doi:10.51847/t8D9TJGOCU
- Agrawal S, Kaur AP, Taneja K. A comprehensive review of benzo alpha pyrene (B[A]P) toxicology. Toxicol Article Res J Pharm Biol Chem Sci. 2018;9(4):1049-58.
- Afsari Dewi IAM, Mirah Adi AAA, Setiasih LNE. Fluktuasi profil hematologi tikus putih hewan model fibrosarcoma yang diinduksi benzopyrene. Indones Med Vet. 2022;11(2):267-81. doi:10.19087/imv.2022.11.2.267
- Hasibuan FE. Mikrostruktur jaringan tumor dan ekspresi p53 pada tikus model kanker payudara yang diberi ekstrak metanol daun biwa (Eriobotrya japonica (Thunb.) Lindl.) [dissertation on the Internet]. Medan (Indonesia): Universitas Sumatera Utara; 2019. Available from: https://repositori.usu.ac.id/handle/123456789/27671
- Fitria L. Profil hematologi tikus (Rattus norvegicus Berkenhout, 1769) galur Wistar jantan dan betina umur 4, 6, dan 8 Minggu. Biogenesis: J Ilm Biol. 2014;2(2):94-100. Available from: http://journal.uin-alauddin.ac.id/index.php/biogenesis/article/view/473
- Habibi E, Shokrzadeh M, Ahmadi A, Chabra A, Naghshvar F, Haghi-Aminjan H, et al. Pulmonoprotective action of Zataria multiflora ethanolic extract on cyclophosphamide-induced oxidative lung toxicity in mice. Chin J Integr Med. 2020;26(10):754-61. doi:10.1007/s11655-018-2984-4
- Vento PJ, Swartz ME, Martin LB, Daniels D. Food intake in laboratory rats provided standard and fenbendazole-supplemented diets. J Am Assoc Lab Anim Sci. 2008;47(6):46-50.
- Ruchin A, Alekseev S, Khapugin A, Esin M. The fauna and diversity of ground beetles (Coleoptera, Carabidae) in meadow ecosystems. Entomol Lett. 2022;2(1):1-11. doi:10.51847/xiIPPVCe56
- Rudayni HA, Basher NS, Al-Keridis LA, Ibrahim NA, Abdelmageed E. Exploring the effectiveness of Ocimum basilicum extracts in mosquito larvae management. Entomol Lett. 2022;2(1):12-8. doi:10.51847/upImR4jWMM
- Zuev RV. A comprehensive checklist with annotations of millipedes (Myriapoda: Diplopoda) in the Stavropol Territory, Northern Caucasus, Russia. Entomol Lett. 2022;2(1):19-27. doi:10.51847/fEjYpJ0vuT
- Perrine KTA, Moïse AAA, Claver KA, Tenon C, Brice BJ, Herve KK, et al. Assessment of the impact of Ocimum gratissimum L. (Lamiaceae) extracts on Nasutitermes termites, cocoa pests in Côte d'Ivoire. Entomol Lett. 2023;3(1):7-17. doi:10.51847/gYbXNUKPX6
- Figueroa-Valverde L, Marcela RN, Alvarez-Ramirez M, Lopez-Ramos M, Mateu-Armand V, Emilio AS. Statistical data from 1979 to 2022 on prostate cancer in populations of northern and central Mexico. Bull Pioneer Res Med Clin Sci. 2024;3(1):24-30. doi:10.51847/snclnafVdg
- Bona C, Lozano R. Increased plasma lactate level associated to the use of atorvastatin: a study comparing cases and controls. Bull Pioneer Res Med Clin Sci. 2024;3(1):46-9. doi:10.51847/vvkHX6i1yb
- Suchy W, Jurkowski O. Clinical assessment of 5% lidocaine patches for postoperative analgesia: efficacy, effectiveness, and safety. Bull Pioneer Res Med Clin Sci. 2024;3(1):31-6. doi:10.51847/UxKg3AkOTB
- Enwa FO, Jewo AO, Oyubu LO, Adjekuko CO, Effiong V. Incidence of vaginal infections among females of different age categories in Delta State, Nigeria. Bull Pioneer Res Med Clin Sci. 2022;1(1):18-23. doi:10.51847/C1oahQ115n
- Botelho J, Machado V, Proença L, Delgado AS, Mendes JJ. Investigating the relationship between gingivitis and level of vitamin D in children with diabetes. Ann J Dent Med Assist. 2023;3(2):1-7. doi:10.51847/HqiLwSaVdU
- Bukowska B, Sicińska P. Influence of Benzo(a)pyrene on different epigenetic processes. Int J Mol Sci. 2021;22(24):13453. doi:10.3390/ijms222413453
- Sheshadri A, Kittiskulnam P, Johansen KL. Investigating the effects of physical activity on the amount of muscle cramp pain in hemodialysis patients. J Integr Nurs Palliat Care. 2024;5:8-13. doi:10.51847/wZhaI3rJNj
- Wolderslund M, Kofoed P, Ammentorp J. Investigating the effectiveness of communication skills training on nurses' self-efficacy and quality of care. J Integr Nurs Palliat Care. 2024;5:14-20. doi:10.51847/55M0sHLo3Z
- Bandi V, Dey SK, Rao O. Factors influencing the physician prescribing behaviour of medicines in developed and developing countries: a systematic review. J Integr Nurs Palliat Care. 2024;5:21-34. doi:10.51847/ZS3boQgksO
- Liu M, Tang Q, Wang Q, Xie W, Fan J, Tang S, et al. Studying the sleep quality of first pregnant women in the third trimester of pregnancy and some factors related to it. J Integr Nurs Palliat Care. 2022;3:1-6. doi:10.51847/K1PUWsJ24H
- Mobeen T, Dawood S. Studying the effect of perceived social support and mental health on marital burnout in infertile women. J Integr Nurs Palliat Care. 2022;3:7-12. doi:10.51847/7DkM3Fkiu3
- İlhan N, Telli S, Temel B, Aştı T. Investigating the sexual satisfaction mediating role in the relationship between health literacy and self-care of men with diabetes and women's marital satisfaction. J Integr Nurs Palliat Care. 2022;3:19-25. doi:10.51847/sFjL3OLpqg
- Manzoor M, Raza S, Chaudry B. Proficient handling and restraint of the laboratory animal rat (Rattus norvegicus) facilitates essential biochemical and molecular level studies in biomedical sciences. IOSR J Pharm Biol Sci. 2013;6(2):21-33.
- Zhao D, Xue K, Meng J, Hu M, Tan X. Root canal treatment in posterior teeth: implications for orthodontic mechanics and stability. Asian J Periodontics Orthod. 2022;2:27-32. doi:10.51847/cTjogcutDJ
- Dipalma G, Inchingolo AD, Fiore A, Balestriere L, Nardelli P, Casamassima L, et al. Comparative effects of fixed and clear aligner therapy on oral microbiome dynamics. Asian J Periodontics Orthod. 2022;2:33-41. doi:10.51847/mK28wdKCIX
- Marian M, Shah R, Gashi B, Zhang S, Bhavnani K, Wartzack S, et al. The role of synovial fluid morphology in joint lubrication and function. Int J Vet Res Allied Sci. 2024;4(2):1-4. doi:10.51847/WXAMJiBFbr
- Dorn GA, Poznyakovsky VM, Danko NN, Vladimirovna PE, Tokhiriyon B. A study of assessing the impact of pantohematogen, embryotoxicity, and teratogenicity. Int J Vet Res Allied Sci. 2024;4(2):5-13. doi:10.51847/tvX0TaYc7D
- Mao J, Zhang T, Zhang G, Wang M, Liu C, Wang M. The impact of cold storage on the survival and viability of parasitoid bee pupae and whole insects. Int J Vet Res Allied Sci. 2024;4(2):20-6. doi:10.51847/d0aYiMtX37
- Constante SA, O’Connor S, Jordan SG. Case report: classic illustrations of benign and malignant phyllodes breast tumors in two patients. Radiol Case Rep. 2023;18:232-8. doi:10.1016/j.radcr.2022.10.002
- Tse GM, Tan PH, Putti TC, Lui PC, Chaiwun B, Law BK. Metaplastic carcinoma of the breast: a clinicopathological review. J Clin Pathol. 2006;59(10):1079-83. doi:10.1136/jcp.2005.030536
- Dahlan M. Statistik untuk kedokteran dan kesehatan. Jakarta: Salemba Medika; 2009. p. 83-95.
- Hastono S. Analisis data pada bidang kesehatan. Jakarta: Raja Grafindo Persada; 2016. p. 121-7.
- Marconcini S, Giammarinaro E, Cosola S, Oldoini G, Genovesi A, Covani U. Impact of non-surgical periodontal therapy on oxidative stress markers in smokers and periodontitis patients. Ann Orthod Periodontics Spec. 2023;3:1-9. doi:10.51847/0xOIHxJgjW
- Kulkarni S, Zope S, Suragimath G, Varma S, Kale A. The influence of female sex hormones on periodontal health: a regional awareness study. Ann Orthod Periodontics Spec. 2023;3:10-8. doi:10.51847/v4EFMh6WEf
- Kiedrowicz M, Dembowska E, Banach J, Safranow K, Pynka S. Evaluating periodontal health in type 2 diabetics with chronic complications. Ann Orthod Periodontics Spec. 2023;3:19-27. doi:10.51847/axdaRLPSoJ
- Macrì M, D’Albis G, D’Albis V, Antonacci A, Abbinante A, Stefanelli R, et al. Assessing the psychosocial and functional impact of periodontal disease. Ann Orthod Periodontics Spec. 2023;3:28-31. doi:10.51847/OjyFxHjTxv
- Shenoy A, Nallaswamy D, Maiti S. Comparison of conventional and digital techniques for evaluating CAD/CAM crown margins. Ann Orthod Periodontics Spec. 2023;3:32-42. doi:10.51847/yKTUquh26p
- Savva G, Papastavrou E, Charalambous A, Vryonides S, Merkouris A. Studying the nurses' and nursing students' attitudes towards the phenomenon of elderly. J Integr Nurs Palliat Care. 2023;4:6-10. doi:10.51847/DkBR8F3IGx
- Du X, Dong Q, Sun L, Chen X, Jiang J. Studying the relationship between depression and internal stigma in mothers of children with cerebral palsy. J Integr Nurs Palliat Care. 2023;4:17-22. doi:10.51847/9WQmf9zDW1
- Ağaçkıran M, Avşaroğullar OL, Şenol V. Examining the frequency of violence versus nurses and the factors affecting it in hospitals. J Integr Nurs Palliat Care. 2023;4:11-6. doi:10.51847/0rzZBHvQ2d
- Attenborough J, Abbott S, Brook J, Knight R. Studying barriers to work-based learning in clinical environments from the perspective of nursing managers and nurses. J Integr Nurs Palliat Care. 2023;4:46-52. doi:10.51847/qQR0GNUES7
- Belfiore CI, Galofaro V, Cotroneo D, Lopis A, Tringali I, Denaro V, et al. Studying the effect of mindfulness, dissociative experiences, and feelings of loneliness in predicting the tendency to use substances in nurses. J Integr Nurs Palliat Care. 2024;5:1-7. doi:10.51847/LASijYayRi
- Sikdar S, Mukherjee A, Bishayee K, Paul A, Saha SK, Ghosh S, et al. Post-cancer treatment with Condurango 30C shows amelioration of benzo[a]pyrene-induced lung cancer in rats through the molecular pathway of caspase-3-mediated apoptosis induction. J Pharmacopuncture. 2013;16(3):11-22. doi:10.3831/KPI.2013.16.021
- Noto FK, Yeshi T. Humanized mouse and rat PDX cancer models. Patient-Derived Xenograft Models of Human Cancer. 2017. p. 43–57. doi:10.1007/978-3-319-55825-7_4
- Holen I, Speirs V, Morrissey B, Blyth K. In vivo models in breast cancer research: progress, challenges, and future directions. Dis Model Mech. 2017;10:359-71. doi:10.1242/dmm.028274
- Tian H, Lyu Y, Yang YG, Hu Z. Humanized rodent models for cancer research. Front Oncol. 2020;10:1696. doi:10.3389/fonc.2020.01696
How to cite this article:
Citation Formats:
Contact Meral
Meral Publications
www.meralpublisher.com
Davutpasa / Zeytinburnu 34087
Istanbul
Turkey
Email: [email protected]







